-
-
- News
-
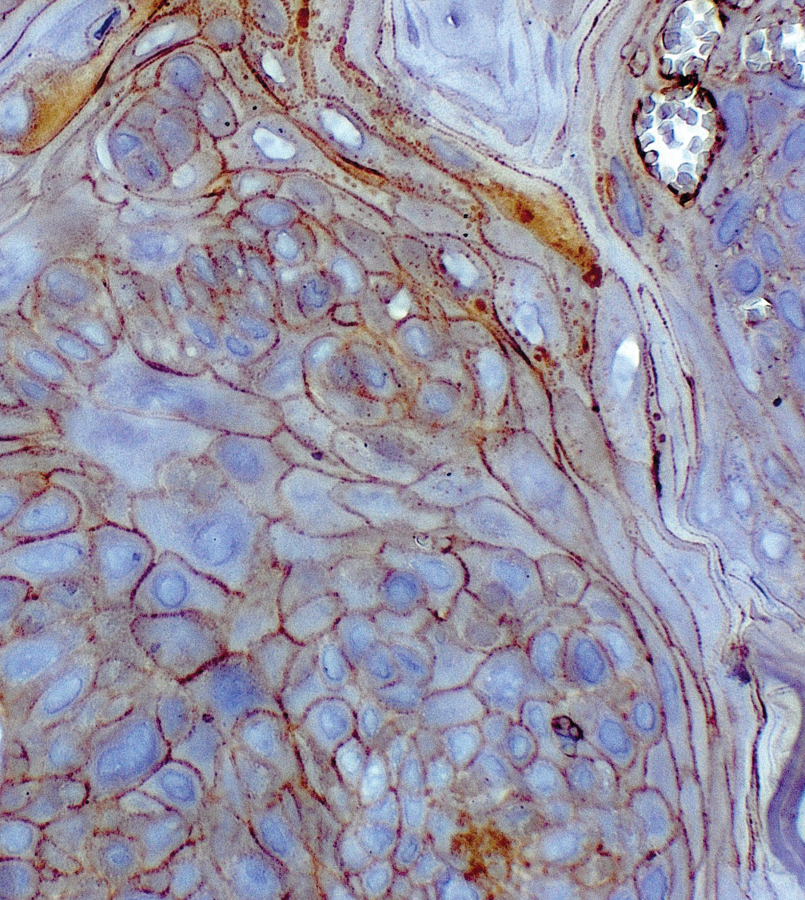
- Inmunohistoquímica de publicación nacional, como portada del Clinical Cancer Research
Inmunohistoquímica de publicación nacional, como portada del Clinical Cancer Research
1/01/2024
El primero de enero se publicó el volumen 30 de la versión electrónica de la prestigiosa revista Clinical Cancer Research (CCR), la cual publica artículos que se centran en investigaciones clínicas y traslacionales innovadoras, que unen el laboratorio y la clínica.
En esta oportunidad, además de participar con una publicación en la que intervienen miembros de nuestro laboratorio (ver link), los editores de la revista eligieron una foto de una inmunohistoquimica de dicha publicación, como portada de la edición del 1 de enero del Clinical Cancer Research.
¡Felicitaciones!

The cover shows a section of an oral squamous cell carcinoma lesion from a mouse challenged with 4-Nitroquinoline N-oxide, a tobacco-smoke carcinogen surrogate, and treated with C59, a Porcupine inhibitor. Immunohistochemical staining shows reduced non-phosphorylated (active) β-catenin expression at tumor cell borders. For details, see the article by Peña-Oyarzún and colleagues on page 209 of this issue